
头晕真的是老年人的“专利”?
年轻人头晕仅仅是因为没休息好吗?
脑科医生说
其实有一种头晕
经常发生在年轻人身上
甚至会出现在青少年的世界里

他们往往
患有同一种疾病——“烟雾病”
较终大多走向死亡或重残……
Q
烟雾病?是抽烟导致的吗?还是雾霾?视线里全是烟雾?
A
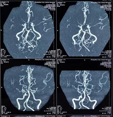
烟雾病属于脑血管病的一种,又称自发性颅底动脉环闭塞症,是以颈内动脉末端及大脑前或中动脉起始部动脉内膜缓慢增厚,动脉管腔逐渐狭窄以至闭塞,脑底穿通动脉代偿性扩张,形成异常毛细血管网为特征的慢性脑血管疾病。因在血管造影中,脑底的异常血管形状酷似吸烟时吐出的烟雾,故称为烟雾病。

烟雾病怎么治疗呢
来看看下面两个病例
病例一:我院患者赵女士 32岁
一个多月前
赵女士感觉整天头晕
昏沉沉的
伴有视物模糊
之后出现嗜睡和耳鸣现象

她到当地医院被诊断为颈椎病
住院治疗了20多天,不见效果
后转到绵阳某医院,怀疑是烟雾病
但由于技术条件有限,无法医治
经过多方打听,辗转来到我院
确诊为烟雾病、颅内多发动脉闭塞
病例二:年龄较小的烟雾病患者 4岁
该患者在出生后的几年时间里
反复发生过多次脑梗
询问家族史发现他的爷爷爸爸都有烟雾病
经过基因检测后
该患者被确诊为患有家族性烟雾病

烟雾病好治吗?
烟雾病患者可反复出现脑出血或脑梗死,预后极差,且药物治疗是无效的,不能阻止该疾病的发展。
这个信息犹如晴天霹雳
赵女士一下子陷入了深深的忧愁之中……


贾映海
神经外科教授
烟雾病也不是不可治疗的,血管搭桥手术是目前治疗烟雾病及颅内多发动脉闭塞较有效的方法,能有效阻止疾病的进展,极大降低再出血及脑梗死的发生几率,提高生存率及生活质量。
赵女士内心又重新燃起了希望
当即决定手术治疗

完善了术前准备后,贾映海教授和四川省人民医院黄光富教授强强联手,为赵女士实施了STA-MCA(颞浅动脉 - 大脑中动脉)搭桥术,用一根比头发丝儿还细的针线在直径仅仅1mm的血管上进行搭桥。
手术很顺利
目前赵女士恢复良好
医生提示
头晕不是老年人的“专利”,年轻人的头晕更应该引起重视。对于烟雾病,医学界公认没有什么有效的保守治疗办法,一旦确诊建议尽早手术治疗。

成都西南脑科医院预约挂号平台
1、我院坚决维护患者隐私权,网上填写的所有资料只为预约提供方便,不作其它用途,就诊后即删除填写资料;点击"提交信息"即表示您同意接受服务条款以及隐私政策内容。
2、请记住您的填写的联系方式,以此作为网站预约的凭证。
尊敬的患者朋友:以下隐私协议是成都西南脑科医院对患者隐私保护的承诺书,请您务必仔细阅读本协议,以了解我们关于您个人信息的管理情况。本隐私协议的全部条款属于“成都西南脑科医院医院患者服务协议”的重要部份之一。
本协议包括以下内容:
该隐私协议应用于我们mwap.cdxnnkyy.com等站点里的所有服务,在访问时您将受到本隐私协议的保护与约束。 为尽可能相对安全地使用本院的医疗服务,并在本院能力所及程度和范围内防范风险,希望您能够提供您的手机号码及姓名等个人信息。本隐私协议描述了我们收集的个人信息以及我们将如何使用这些信息。我们承诺尽一切可能保护您的个人信息,严格按照此隐私协议的规定使用您的个人信息,保证在不必要的情况下不会把您的个人信息透露给任何第三方。
然而就像我们后面描述的那样,在一些有特殊要求的情况下,您的信息有可能不得不提供给第三方时,出于对您的个人信息安全使用的考虑,您有必要认真阅读本隐私协议。该隐私协议适用于在成都爱迪眼科医院网站进行的任何服务。如果您同意本隐私协议,您就已经同意我们按照本隐私协议来使用和披露您的个人信息。如果您对本隐私协议有任何疑问,请务必联系我们。
为了使您在一个高效和安全的环境下接受本院的各项服务,我们会根据需要,按照所提供的不同服务类别向您收集不同的个人信息。所需要收集的内容都会向您明示,包括您的姓名及电话号码;但不包括您的身份证资料、银行信用卡和银行来往账户的信息,我们承诺不会透露给任何第三方。
内部用途我们所收集的您的信息主要用于以下方面: 1.提供回访服务并了解您的信息。 2.提供客户服务。当政府机关依照法定程序要求本网站披露个人资料时,本院将根据执法单位之要求或为公共安全之目的提供个人资料。在上述情况下之任何披露,本院均得免责
我们使用程序上和硬件技术上的安全策略来保护您的个人信息,包括程序加密,“防火墙”和SSL加密传输技术(目前存在的最高商业加密技术)。我们将采用物理、电子以及流程等形式来保护您的私人信息。我们还将定期严格的测试系统,并请资深信息安全公司来授权和完善我们的安全系统和流程。
因为会有不断的更新,这个协议会随之更改。不管有任何改变,我们不会给您发送修正隐私协议的通知。但我们会在第一时间通知到您。
地址:成都市武侯区武侯大道38号,电话:028-68760707 成都西南脑科医院为了更好的为广大患者朋友提供服务,响应国家卫生部的号召解决“看病难”的问题,特意开通了网络咨询、网络预约挂号、网络免费电话等便民绿色服务通道,帮助您快速预约就诊。
电话咨询
028-68760707